Кейсы

В-тип | V-type и титановое основание 1.5 мм

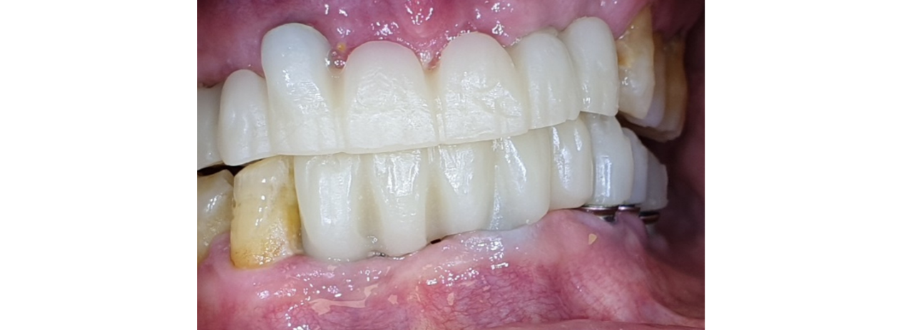
Пациент возраст 80 лет пришел со сломанными зубами и сломанным мостовидным композитным мостом, который с годами изменил цвет там, где была дыра. Нижний мост также был заменен, функциональность была важнее эстетики. Также была проведена подтяжка прикуса.
Старые мультиюниты были заменены новыми XGATE Dental с разной высотой. Челюсти сканировались с помощью интраорального сканера.
Угловой мультиюнит в данном случае не подойдет, потому что имплантат устарел, варианты были либо удалить имплантат длительным процессом со сложной реставрацией, либо работать по протоколу, который мы используем с учетом возрастных ограничений, варианты варьируются.
Линейка мультиюнитов В-тип | V-type системно поставляется с множеством рукавов – от самых маленьких для экстремальных случаев, и до больших для лучшей цементации – 1,5 мм, 3,0 мм, 4,0 мм, 6,0 мм.
Для получения наилучших результатов в этом случае был использован самый маленький по высоте рукав 1.5 мм, линейка В-тип | V-type.
В-тип | V-type